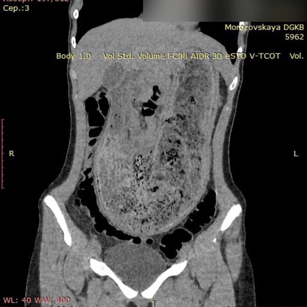
В ГБУЗ «Морозовская детская городская клиническая больница» поступила 17-летняя пациентка в крайне тяжёлом состоянии. Девушку мучили невыносимые боли в животе и постоянная рвота. В ходе обследования врачи обнаружили трихобезоар, заполнивший весь желудок и часть двенадцатиперстной кишки.
Как выяснилось, на протяжении двух лет пациентка страдала от навязчивого расстройства и проглатывала собственные волосы. Это привело к формированию гигантского образования и механической кишечной непроходимости.
«Дети с диагнозом трихобезоар отличаются повышенной впечатлительностью, тревожностью, нервной возбудимостью и сниженным адаптационным потенциалом. Чаще всего жевание и проглатывание волос происходит вследствие сильных эмоциональных переживаний», — пояснила психолог больницы Татьяна Безкопыльная.
Операция по удалению волосяного комка длилась более двух часов. Как уточнили «Медицинской России», размер образования достигал 25 см в длину и 15 см в ширину.
После вмешательства состояние девушки стабилизировалось. С пациенткой провели консультацию, дали рекомендации по дальнейшему лечению и психологической поддержке.
Операционная бригада:
— Хирурги Павел Мордвин, Николай Абросимов
— Ординатор Виктория Чурикова
— Анестезиолог Татьяна Милащенко
— Операционная медицинская сестра Дарья Аникина
— Медицинская сестра-анестезист Александра Кустова.



