В БУЗ УР «Городская Клиническая Больница № 7» поступила пациентка с жалобами на головные боли, изменения характера.
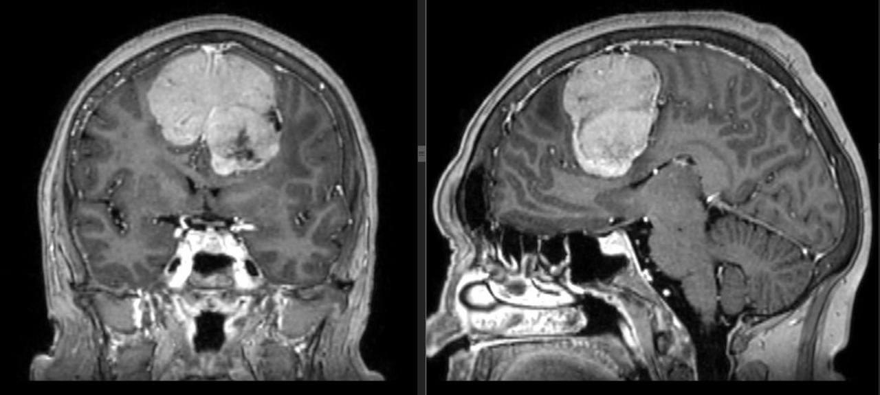
«Тревогу забили ее коллеги, когда женщина стала ошибаться в документах и перестала справляться со своими рабочими обязанностями, изменился характер, она перестала ухаживать за собой. Родственники отправили ее на обследование, где была выявлена опухоль мозга — менингиома больших размеров», — рассказала нейрохирург Ольга Мурашова.
Пациентке требовалась операция, которую выполнили Ижевские специалисты. Опухоль была полностью удалена. Сложности, возникшие в ходе операции, были связаны с гигантским размером опухоли. Новообразование занимало практически 14% объема полости черепа, его объем составил 189 кубических сантиметров. Операция продлилась 5 часов.
Сейчас пациентка чувствует себя хорошо, у неё постепенно восстанавливаются утраченные навыки самообслуживания, общения и контроля поведения. Опухоль отправлена на гистологическое исследование.
Операционная бригада
— хирурги Владимир Пашкин, Ольга Мурашова
— анестезиолог Елена Овечкина
— операционная медсестра Мария Егорова
— анестезист Надежда Лекомцева.


