В ФГБУ «Национальный медицинский исследовательский центр фтизиопульмонологии и инфекционных заболеваний» Минздрава России обратилась женщина с жалобами на выпячивание в области грудной клетки при дыхании и кашле. Подробности узнала «Медицинская Россия».
Симптомы появились спустя несколько лет после удаления 4-го ребра слева из-за доброкачественной опухоли. Со временем жалобы усиливались и начали приносить ей дискомфорт.
Обследование показало, что в области дефекта легкое выходило за пределы грудной клетки при дыхании.
«Легкое было защищено от внешней среды только кожей и небольшой прослойкой жировой клетчатки. Наша задача состояла в том, чтобы устранить дефект, сохранив при этом дыхательную функцию, подвижность руки, и избежать послеоперационных осложнений», — рассказал лечащий врач пациентки, заведующий хирургическим торакальным отделением НМИЦ ФПИ, к.м.н. Алексей Паршин.
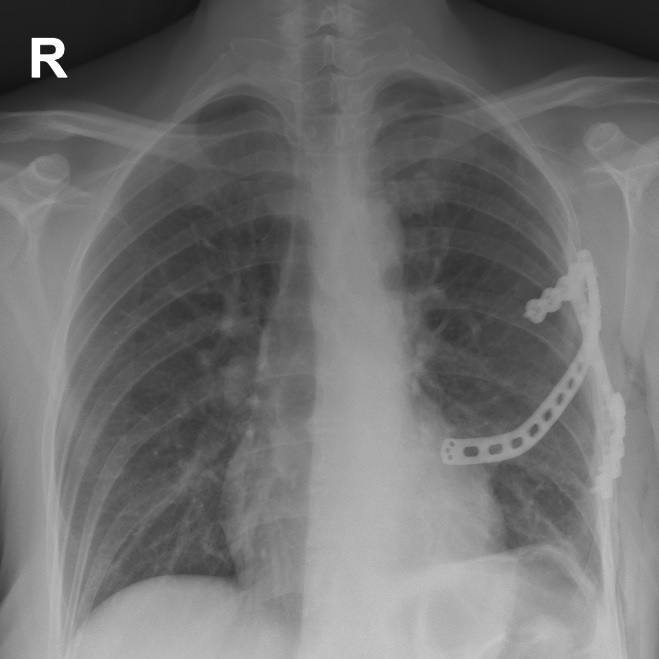
Для решения проблемы на основании данных КТ с помощью 3D-печати был разработан индивидуальный трехреберный титановый протез. Для минимизации повреждения мягких тканей и костных структур дополнительно был создан пластиковый макет для «примерки» будущего изделия.
«Изготовление импланта из титанового порошка методом селективного лазерного сплавления позволяет создать сложнопористую структуру, которая способствует лучшей остеоинтеграции и снижает вес конструкции; дорогостоящая и крайне сложная с хирургической точки зрения сама операция. Именно поэтому подобные операции выполняются далеко не в каждой клинике, а только в крупных федеральных научно-исследовательских центрах, имеющих необходимые ресурсы», – прокомментировал Алексей Паршин.
В ходе операции междисциплинарная команда в составе торакального хирурга Алексея Паршина и травматолога-ортопеда Ярослава Рукина установила имплант размером 12 см через разрез всего 5 см.
«Для лучшего заживления надкостница с ребер была частично удалена, выполнена туннелизация в грудной мышце. Макет импланта был установлен в подготовленное ложе и намечены точки фиксации. После титановый протез был установлен и зафиксирован специальными винтами. Рану послойно ушили с применением безузлового внутрикожного косметического шва», — добавил Алексей Паршин.
Послеоперационный период протекал без осложнений. У пациентки сохранена полная подвижность руки и дыхательная функция. Сейчас она выписана домой в удовлетворительном состоянии.
Если вы хотите поделиться своей новостью с нашей редакцией ➡️ @mediamedics_bot



